Bem vindo a Unidente

“Um sorriso perfeito faz a diferença em sua vida”

Emergência 24h

Rígido controle da biossegurança, com testes bacteriológicos diários em todos os equipamentos de esterilização.
 

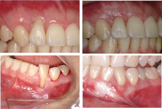
• Periodontia

É a área da odontologia que trata das enfermidades da gengiva, osso alveolar e estruturas adjacentes, dentes com mobilidade e retrações de gengiva. Alguns procedimentos executados pelo dentista clínico geral: Aplicação de flúor, limpeza Dental (Profilaxia), raspagem de tártaro, remoção de cáries, atendimentos de urgência, pequenas restaurações, ajustes e polimentos de restaurações, orientações de técnicas de higiene bucal.

© 2013 - 2014 Unidente Centro Odontologico